糖尿病是一種常見的終生疾病,被診斷患有1型糖尿病的兒童人數正在增加。癥狀可以控制,但無法治愈。對許多人來說,糖尿病意味著每天注射胰島素,并可能對他們的健康造成長期損害。
有幾種類型的糖尿病。它們的共同點是調節血液中正常糖分水平的問題。
糖尿病的類型
最常見的糖尿病類型:
糖尿病是一種復雜的疾病,有多種表現形式。除了常見的1型糖尿病、2型糖尿病和妊娠糖尿病外,還有一系列其他類型的糖尿病,它們同樣重要。
約有 2% 的人患有其他類型的糖尿病。這些包括不同類型的單基因糖尿病、囊性纖維化相關糖尿病和由罕見綜合征引起的糖尿病。某些藥物(如類固醇和抗精神病藥)可能會導致其他類型的糖尿病,以及手術或荷爾蒙失調。不幸的是,許多人被誤診,導致延誤獲得正確的治療。
我們為自己支持的研究感到自豪,這些研究確保了對所有類型糖尿病的更好診斷和治療,并且讓我們對這種疾病有了更多的了解。您可以在下面找到有關不同類型糖尿病的更多信息:
- 1 型糖尿病
- 2型糖尿病
- 妊娠期糖尿病
- 青少年成年型糖尿病(MODY)
- 新生兒糖尿病
- 沃爾夫勒姆綜合癥
- Alstr?m 綜合征
- 成人隱匿性自身免疫性糖尿病 (LADA)
- 3c 型糖尿病
- 類固醇誘發的糖尿病
- 囊性纖維化糖尿病
1型糖尿病
1型糖尿病 是指您的 血糖水平 過高,因為您的身體無法產生一種叫做 胰島素的激素。
發生這種情況的原因是您的身體攻擊胰腺中產生胰島素的細胞,這意味著您根本無法產生任何胰島素。
我們都需要胰島素才能生存。胰島素起著至關重要的作用。它讓我們血液中的葡萄糖進入細胞,為我們的身體提供能量。
患有1型糖尿病時,身體仍會分解食物和飲料中的碳水化合物并將其轉化為葡萄糖。但當葡萄糖進入血液時,沒有胰島素將其輸送到細胞中。血液中葡萄糖的積累量會越來越多,導致血糖水平升高。
2型糖尿病
患有2型 糖尿病時 ,胰腺分泌的胰島素無法正常工作,或者胰腺無法分泌足夠的胰島素。這意味著您的 血糖水平 會持續升高。
英國約90%的糖尿病患者屬于2型糖尿病。這是一種嚴重的疾病,可能會伴隨終生。
患有2型糖尿病且未接受治療,則意味著血液中的高糖水平會嚴重損害您的身體部位,包括眼睛、心臟和腳。這些被稱為糖尿病并發癥。但只要接受正確的治療和護理,您就可以與2型糖尿病共存,并降低患上這些疾病的風險。
妊娠期糖尿病
妊娠糖尿病是妊娠期間可能出現的糖尿病。它會影響以前未患過糖尿病的女性。這意味著您的 血糖較高,需要格外照顧自己和您的肚子。這包括健康飲食和保持活躍。
通常在分娩后會消失。通常在懷孕24至28周后通過血液檢查來診斷。
青少年成年型糖尿病(MODY)
MODY 是一種罕見的糖尿病,不同于1型和2型糖尿病,且在家族中遺傳性很強。MODY 是由單個基因突變(或改變)引起的。如果父母有這種基因突變,他們的孩子就有 50% 的幾率從他們那里遺傳這種基因突變。如果孩子確實遺傳了這種突變,他們通常會在25歲之前患上MODY,無論他們的體重、生活方式、種族等如何。
新生兒糖尿病
新生兒糖尿病是一種在六個月以下診斷出的糖尿病。它與更常見的 1 型糖尿病不同,因為它不是一種自身免疫性疾病(身體破壞了其胰島素產生細胞)。
沃爾夫勒姆綜合癥
Wolfram 綜合征是一種罕見的遺傳性疾病,因其最常見的四個特征(尿崩癥、糖尿病、視神經萎縮和耳聾)而被稱為DIDMOAD綜合征。
Alstr?m綜合征
Alstr?m綜合征是一種罕見的遺傳綜合征,具有許多常見特征。
成人隱匿性自身免疫性糖尿病(LADA)
LADA是一種似乎介于1型和2型糖尿病之間的糖尿病。它的一部分更像1型,而其他部分更像2型。這就是為什么有些人稱之為1.5型糖尿病或1 ?型糖尿病。
目前,它實際上并未被歸類為一種單獨的糖尿病類型,但正在進行一些醫學研究,試圖準確找出它與 1 型和2型糖尿病的區別。
3c型糖尿病
3c型糖尿病是另一種疾病導致胰腺受損而引發的一種糖尿病。與3c型相關的疾病包括胰腺癌、胰腺炎、囊性纖維化或血色素沉著癥。如果您因其他損傷而切除部分或全部胰腺,也可能患上3c型糖尿病。玩
類固醇誘發的糖尿病
有些服用類固醇的人可能會患上糖尿病。這被稱為類固醇誘發糖尿病,在患2型糖尿病風險較高的人群中更為常見。
囊性纖維化糖尿病
囊性纖維化糖尿病是囊性纖維化患者中最常見的糖尿病類型。盡管它兼具1型和2型糖尿病的特征,但它是一種不同的疾病。
單基因糖尿病
單基因糖尿病是一種罕見疾病,不同于1型和2型糖尿病。它是由單個基因突變引起的。如果父母有這種突變,他們的孩子就有50%的幾率遺傳這種突變。由于單基因糖尿病非常罕見,人們經常會被誤診。
在一些單基因糖尿病病例中,這種疾病可以通過服用特定藥物來控制,不需要胰島素治療。這就是為什么了解罕見糖尿病并正確診斷非常重要。
(單基因糖尿病有兩種類型——新生兒糖尿病和MODY)。

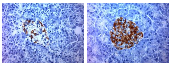
在左圖中,我們可以看到制造的胰島素減少(以棕色顯示)和腫脹,因為β細胞受損。
免責說明:本文僅用于傳播科普知識,分享行業觀點,不構成任何臨床診斷建議!杭吉干細胞所發布的信息不能替代醫生或藥劑師的專業建議。如有版權等疑問,請隨時聯系我。
版權說明:本文來自杭吉干細胞科技內容團隊,歡迎個人轉發至朋友圈,謝絕媒體或機構未經授權以任何形式轉載至其他平臺,轉載授權請在網站后臺下方留言獲取。
掃碼添加官方微信